
Ewing sarkomu osteosarkomdan sonra en sık görülen, küçük yuvarlak hücrelerden oluşan kötü diferansiye, yüksek dereceli ve kötü huylu bir kemik tümördür. En sık belirti ağrı ve şişliktir. Bazı hastalarda halsizlik ve ateş görülebilir. Cerrahi tedavisi konusunda uzmanlaşmış ortopedik onkoloji ekibi tarafından yapılmalıdır. Ayırıcı tanıda osteomiyelit (kemik iltihabı), lenfoma, mezenşimal kondrosarkom, küçük hücreli osteosarkom, metastatik nöroblastoma, akciğerin küçük hücreli karsinomu, embriyonel rabdomyosarkom ve eozinofilik granülom göz önünde bulundurulmalıdır.
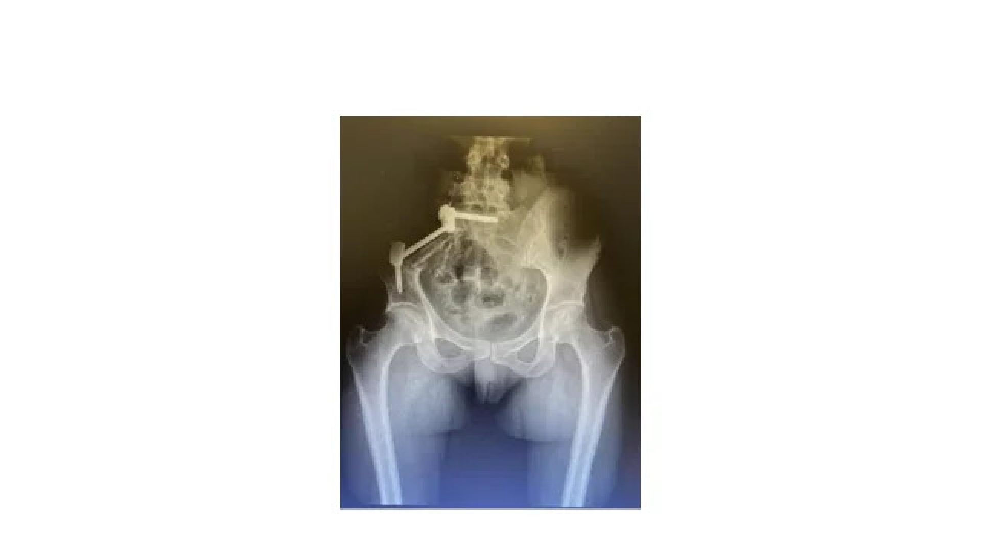
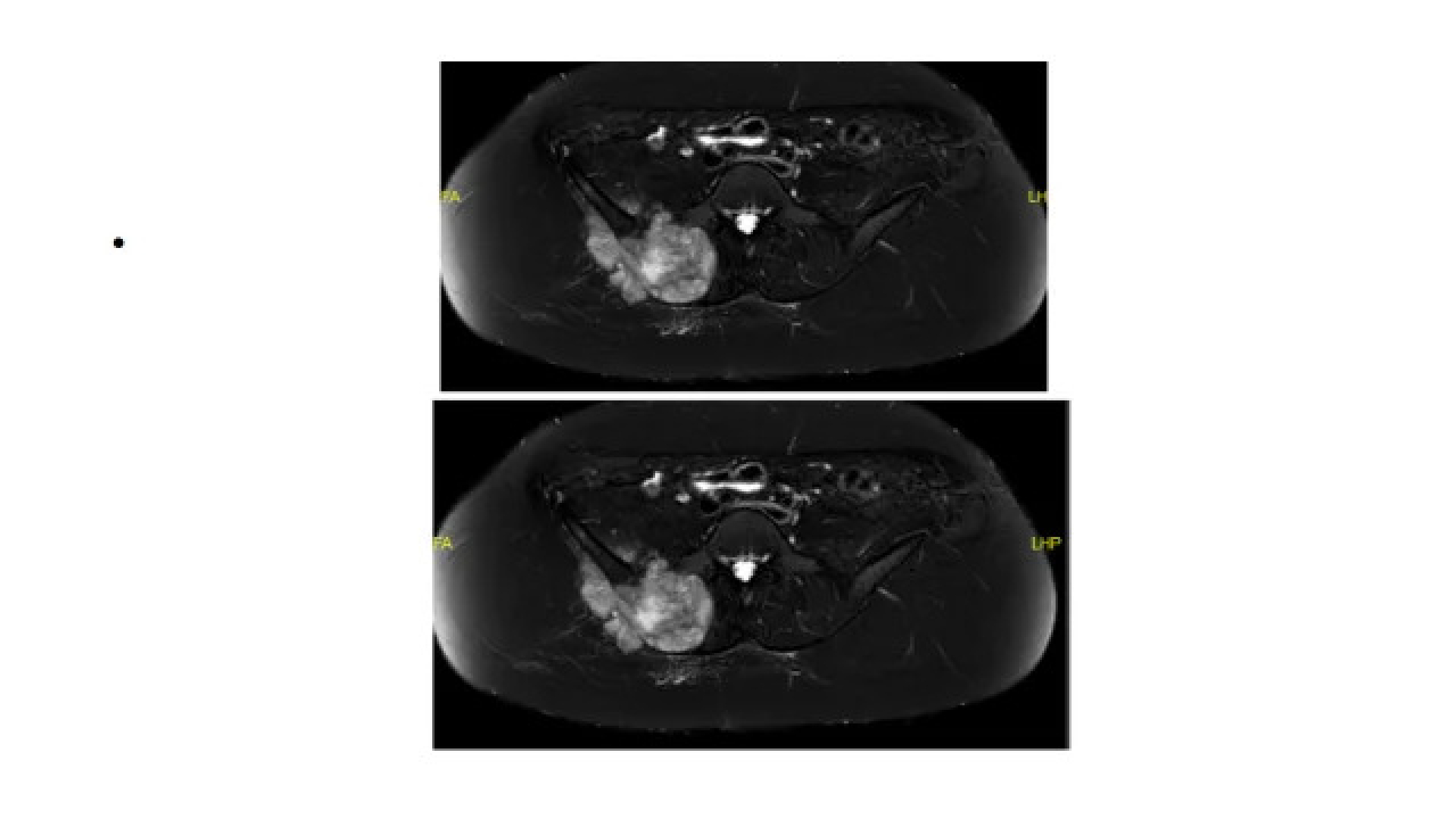
Osteosarkom malign bir kemik neoplazmıdır. Çocukluk çağında en sık görülen primer kemik kanseridir.
Primitif kemik oluşturan (osteoid üreten) habis mezenkimal hücrelerden ortaya çıkar.
Primer tümörler genellikle uzun kemiklerin metafizinde meydana gelir ve yaklaşık %60’ı diz ve çevresinde ortaya çıkarlar. Bu durumdan etkilenenlerin büyük çoğunluğunu çocuklar ve ergenler oluşturur.
Cerrahi tedavisi konusunda uzmanlaşmış ortopedik onkoloji ekibi tarafından yapılmalıdır.